Трудами австралийских ученых Р. Спригга, М. Глесснера, М. Вейд, Р. Дженкинса, немецкого ученого Г. Пфлюга, а также советских ученых Б. С. Соколова, М. А. Федонкина, В. М. Палия и других установлено огромное разнообразие многоклеточных животных в венде. Крупнейшие местонахождения этих остатков известны в Австралии, Канаде, Южной Африке, Сибири, Подолии, на побережье Белого моря. Однако единичные находки известны сейчас почти по всему миру, и количество этих находок все возрастает (рис. 3, 4).

Рис. 3. Бесскелетные ископаемые венда
1 — Charniodiscus, 2/3 натуральной величины, 2 — Charnia, 2/3 натуральной величины, 3 — Inkrylovia, 4 — Pteridinium, 5 — Dickinsonia

Рис. 4. Бесскелетные ископаемые венда
1 — Protodipleurosoma, 3/5 натуральной величины, 2 — Hiemalora, 3/5 натуральной величины, 3 — Tribranchidium, ?2,4, 4 — Albumares, ?3, 5 — Ovatoscutum, ?3,4, 6 — Inkrylovia, 3/5 натуральной величины
По оценкам М. Глесснера (1977), 67% вендской биоты составляют кишечнополостные, около 25% — черви и около 5% — членистоногие. Годом позже сходную оценку давал М. А. Федонкин. Однако уже сегодня М. А. Федонкин полагает, что многие из обнаруженных в венде групп представлены совершенно своеобразными, не имеющими современных аналогов группами.
Основной отличительной особенностью вендо-эдиакарской фауны является то, что она вся представлена только отпечатками. Не следует думать, что скелеты не сохранились в ископаемом состоянии, просто их не было. И хотя некоторые из этих животных имеют размер до 1 м в длину, они состояли из желеподобного вещества, точно так же, как сегодняшние медузы. Не исключено, конечно, что наружный слой этих организмов был достаточно плотным, «кожистым» и несколько более плотным, чем у современных медуз. Удивляет, конечно, как же тогда они могли сохраниться в захоронениях в таких массовых количествах? Ведь захоронения, например, медуз в породах фанерозоя большая редкость! Акад. Л. Ш. Давиташвили, а затем М. А. Федонкин объясняют такое явление отсутствием в это время крупных хищников, трупоядов и перерабатывающих грунт животных. Действительно, позднее, когда появились трупояды и грунтоеды, весь биогенный материал, лежащий на дне и в толще еще рыхлого осадка, стал перерабатываться ими, и, конечно, шанс захоронения медуз или червей резко уменьшился.
Среди вендо-эдиакарских животных были как бентосные (жившие на дне, прикрепленные или свободно лежащие), так и нектонные и планктонные формы, т. е. плавающие пассивно или активно в толще воды (рис. 5). С оценкой систематической принадлежности большинства групп животных, встреченных в венде, существуют огромные сложности. Однако значительная и интересная информация может быть все же получена, так как на сегодня уже известны многочисленные местонахождения вендо-эдиакарской фауны, откуда описаны сотни разнообразных форм. И хотя все это отпечатки, по ним часто можно составить достаточно детальное представление о морфологии животных.

Рис. 5. Реконструкция органического мира вендского моря (по М. Федонкину и Л. Толпыгину)
Что же известно еще об органическом мире венда, кроме вендо-эдиакарской фауны? Из пород венда с помощью химического препарирования добывают огромное количество микроскопических организмов и фрагментов организмов, имевших пектиновую (?) оболочку. Благодаря ей они хорошо сохраняются в ископаемом состоянии и почти не разрушаются при химическом воздействии на породу. В кремнистых породах также сохраняются микроскопические остатки округлой и нитеобразной формы, которые можно изучать в прозрачных шлифах. В карбонатных породах, в основном в доломитах, обнаружено много разнообразных строматолитов и онколитов — построек разного размера и формы, образованных бактериями и синезелеными водорослями. И, наконец, на плоскостях напластования пород можно наблюдать следы передвижения и присутствия каких-то организмов, морфологию которых выяснить невозможно, но «психологию» их поведения изучать можно.
Итак, опираясь на эти сведения, добываемые особенно интенсивно в последние два-три десятилетия, попробуем представить себе уровень развития жизни в это время. Напомню, до последнего времени считалось, что основную массу вендских ископаемых животных составляют кишечнополостные (родственники современных кораллов а медуз). Полагали, что они составляют 70—80% общего числа форм. Однако попробуем оценить вендскую и растительную часть биоты, учитывая всю накопившуюся конкретную информацию.
Достаточно очевидно, что в венде не могло не быть многочисленных прокариотических организмов, поскольку они были до того и многочисленны сегодня. Они описаны из ряда районов СССР. В кремнях обнаружены шаровидные и нитевидные формы (рис. 6). Но наиболее впечатляюще широкое развитие строматолитов и онколитов — продуктов жизнедеятельности бактерий и синезеленых водорослей. Во всех регионах мира, там, где встречены карбонатные породы венда, везде обязательно присутствуют обильные строматолиты и онколиты.

Рис. 6. Вендские растительные ископаемые а — нитчатые формы водорослей, ?480, б — шаровидные формы Leiosphaeridia, ?960
Планктон (точнее, фитопланктон) венда уже тоже исключительно обилен и разнообразен, хотя в основном это гладкие сферические формы размером 10—20 мк, но имеющие разнообразные особенности структуры поверхности.
На обширных территориях вендского мелководья произрастали довольно крупные (до нескольких сантиметров в длину) водоросли — вендотениды (рис. 7). Детальное изучение этой флоры, проведенное М. Б. Гниловской, показало, что вендотениды имели эластичные неминерализованные слоевища, имевшие тканеподобную организацию. У ряда вендотенид были обнаружены сферические спорангии (органы размножения). Сегодня эта группа организмов обнаружена во многих регионах мира. Во всяком случае, она встречена не только на Восточно-Европейской платформе, откуда она и была впервые описана, но и в Сибири и Китае. Из самых верхов венда (немакит-далдынский ярус) описаны первые, но многочисленные представители водорослей с известняковыми чехлами (ренальцис — Renalcis, гемма — Gemma, гирванелла — Girvanella и т. д.).

Рис. 7. Вендотениды, ?1,5
Этим, вероятно, исчерпывается достоверная информация о растительном лире венда, хотя существуют многочисленные указания и на другие находки также, возможно, растительного происхождения.
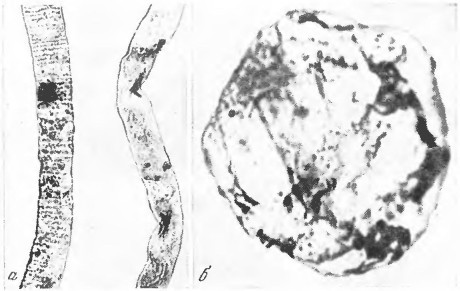
Прежде чем перейти к характеристике кембрийской биоты, совершенно необходимо остановиться па самом последнем этапе развития вендской биоты, на так называемом немакит-далдынском веке. Немакит-далдынский ярус (горизонт) венда на протяжении многих лет вызывает огромный интерес ученых, поскольку является пограничным ярусом докембрия и кембрия, криптозоя и фанерозоя. Геологи, изучавшие пограничные толщи докембрия и кембрия, по-разному воспринимали эти отложения. Одни относили их еще к докембрию, а другие безусловно включали их в кембрий. В чем же здесь дело? А в том, что действительно органический мир этого, вероятно, довольно короткого (3—7 млн. лет) интервала времени очень своеобразен.

Рис. 8. Немакит-далдынские трубчатые ископаемые а — Anabarites, ?25, б — Sabellidites, ?16
Действительно, в отложениях немакит-далдынского яруса мы встречаем обычно, как и в более древних толщах, в больших количествах строматолиты и онколиты. С другой стороны, именно здесь появляются первые водоросли с обызвествленными чехлами. Они еще очень примитивны, очень просты по морфологии, в виде простых трубок и комочков, но все же это уже те водоросли, которые позднее пышно развиваются в кембрии. В немакит-далдынских отложениях мы встречаем несколько групп организмов, которые строят минеральную или органическую трубку. И хотя первые трубчатые остатки известны с середины венда, все же в немакит-далдынских отложениях их разнообразие много больше. Сегодня известно несколько типов трубчатых ископаемых из этих отложений. Это сабеллидиты (Sabellidites), именно они появляются со средины венда и имеют органическую хитиноподобную трубку, анабариты (Anabarites) (рис. 8), камбротубулюсы (Cambrotubulus) и протогерцины (Protoherzina).