10 апреля 1998 г., через несколько дней после публикации снимка «Catbox», НАСА/JPL на своем веб–сайте опубликовали документ, объявляющий о второй серии «возможностей наведения для фотографирования». В нем была карта Сидонии с предсказуемой полосой в Городе, с так называемой «городской площадью» в качестве основной цели. В документе объяснялось, что НАСА решило пропустить Лицо во время второго прохода, поскольку его уже «успешно» поймали в кадр при первом облете Сидонии. Хотя мы все оспаривали правильность этого утверждения, вопрос искусственности Сидонии всегда опирался не только на Лицо, и было бы хорошо получить изображения других пирамидальных структур и странных, похожих на пирамиды в Гизе, холмов, разбросанных по равнине Сидонии.
В документе также содержалось одно особое положение, которое привлекло наше внимание:
«Результаты фотографирования Сидонии будут выкладываться в Интернете таким же образом, как и первая попытка, приблизительно в середине вечера по тихоокеанскому времени во вторник, 14 апреля».

Авторы сразу же поняли, что это дает возможность провести настоящее, бесспорно априорное испытание своей модели ритуальных соответствий. Хотя мы добились успеха, указывая ритуальные гармонии в момент первого фотографирования, в данном случае у нас даже не было точного времени фотографирования, только общий «вечерний» период времени. Мы должны были привести эксперимент, чтобы проверить нашу гипотезу.
К счастью, звезды этому способствовали. Сперва мы решили проверил небо над JPL, поскольку именно оттуда управляли фотографированием и где, скорее всего, находились серверы, предоставляющие (публике) изображения. Нам не потребовалось много времени, чтобы, анализируя расположение звезд при помощи программы «Красное смещение 2», точно определить время фотографирования. В 18.55 по дневному тихоокеанскому времени в назначенный день Сириус будет проходить через 33° прямо над JPL. Этот момент, в свою очередь, откроет «окно», в котором все три звезды пояса Ориона будут проходить с углом возвышения 33° в течение последующих десяти минут.
Итак, у нас появилась возможность заставить замолчать неверящих. Но мы также понимали, что публичное предсказание может изменить условия эксперимента, показав JPL, что мы следим за ними, и насторожив их этим. Мы решили публично не давать прогноза, поскольку это позволило бы отсрочить публикацию снимка на несколько минут и сорвать наш тест. Вместо этого мы решили послать наш прогноз по электронной почте отдельным исследователям и представителям прессы, в том числе Тому ван Фландерну и Арту Беллу. Мы предсказывали, что снимок будет сделан в 18.55 по дневному тихоокеанскому времени, когда Сириус будет в 33° над горизонтом JPL. Хотя у нас было окно в 10 минут, мы понимали, что нам нужно выбрать для проверки точный момент, чтобы она имела полную достоверность. JPL не разочаровала нас.
Когда мы наблюдали за сайтами JPL, Бара смотрел главный сайт JPL, а Хогленд — основное «зеркало»; мы постоянно обновляли браузеры, чтобы быть уверенными, что мы получим снимок точно в тот момент, когда его вывесят. И в 18.55, точно, как мы предсказывали, новая ссылка появилась на главной интернет–странице JPL.
Хотя мы могли уже засчитать себе «очко», мы продолжали смотреть основное «зеркало», на котором новое изображение еще не появилось. Затем, точно в 19.05 по дневному тихоокеанскому времени, ссылка на новое изображение появилась и на «зеркале» JPL. Таким образом, на самом деле они опубликовали изображение дважды, при открытии «окна соответствия» и при его закрытии. Они бесспорно следовали ритуальной схеме.
В качестве дополнения заметим, что через несколько месяцев, когда фотографии Сидонии реорганизовывались в отдельный веб–сайт, НАСА/JPL изменили время и дату публикации, чтобы показать, что второй снимок Сидонии был выполнен в 18.30 по дневному тихоокеанскому времени, отводя время публикации из окна соответствий. Авторы могут категорически утверждать, что это не так. Изображения были вывешены описанным выше способом в 18.55 и 19.05.
Еще более интересным было содержание снимков. Хотя они промахнулись мимо цели — «городской площади» примерно на две мили, в полосу обзора изображения попало множество так называемых «Западных Пирамид» в Городе, вместе с некоторыми (напомним — тетраэдрально расположенными и имеющими тетраэдральную форму) холмами и изрядным участком ландшафта за Городом. Здесь было несколько сюрпризов.
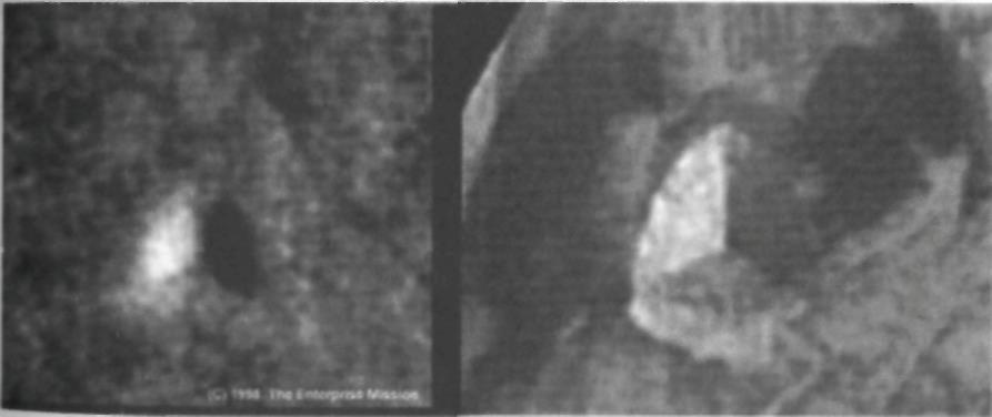
Один из объектов в Городе, Западную Пирамиду, заметил и дал название архитектор Роберт Фиертек, когда рассматривал данные «Викинга». У его основания, прямо над огороженным «внутренним двором», было то, что казалось небольшим холмиком, имеющим грани, однако исходный снимок не был достаточно четким, чтобы можно было сказать об этом с уверенностью. Сканируя новое изображение (которое в Интернете появилось как в плохой (MIPL), так и в хорошей (Паркер) версиях), этот «холмик» был очень эффектен.
Это была пирамида.
Несомненно, этот холм был не просто пирамидой, он был явно многоуровневый и граненый со всех четырех сторон, нечто среднее между Центрально–американскими пирамидами и строениями в Гизе, хотя в пять раз больше их. Несмотря на обрушение на северной стороне, объект представлял собой жесткую четырехстороннюю структуру, которая создавала впечатление монументальной архитектуры. На юго–восточном углу выступающая стена упиралась в многоярусную конструкцию, которую Хогленд окрестил как «Замок Барзум».

Неясный туман странно скрывал южную и западные стороны, хотя «туман» — неверное слово, поскольку камера MGS хорошо работала в инфракрасном режиме и должна была практически полностью устранять легкий местный туман. Вместо этого туман накрывал участки изображения, которые по необъяснимым причинам теряли контрастность и различимые детали. Такова общая характеристика совмещенной трансформированной секции цифрового изображения. Проверка гистограмм показала большую компрессию шкалы полутонов на этих участках.
Геометрическая реконструкция очертаний выявила, что наилучшей визуальной формой, подходящей объекту, является двухъярусная пирамида с углом наклона первого яруса 45°, и 60° верхнего. Скептики возражали, что «Пирамида Гизы» — это просто продукт «разрушения массы», известный геологический процесс, в результате которого обломки нагромождаются у подножия горы. Однако вероятность того, что обломки сами сложатся в форме пирамиды с как минимум двумя ясно различимыми профилированными кромками и уровнями, наклоненными на 45° и 60°, как выразился Хогленд «весьма незначительная».
Затем пришел черед тетраэдрально расположенных холмов в Сидонии. Два из них попали на новый снимок — холмы «Р» и «О». Самым необычным из них был холм Р. Он не только имел четкие граненые очертания, как предсказывали изображения с «Викинга» — прямо за ним было то, что предыдущие снимки выявить не смогли — шестиугольник.
На самом деле в полосе обзора было два лежащих в удалении шестиугольника, один за холмом Р, а другой — в нижней шероховатой части изображения, которую называют окраиной. Оба были размером с бейсбольный стадион, и оба были неестественно правильными. Холм О, к сожалению, проходил по краю полосы обзора, и, хотя он выглядел похожим на шестиугольник, разрешение там было недостаточным, чтобы сделать окончательное заключение.

Хогленд считал наличие шестиугольников на поверхности Сидонии особенно важным. В трудах Максвелла, на основании которых Хогленд построил свою гиперпространственную модель послания Сидонии, постулировались физические свойства многомерных пространств и их взаимодействие в нашем привычном трехмерном мире энергии и материи. Предсказывалось, что в поведении вращающейся сферы, такой как планета, будет выделяться больше пространственных энергий на ключевой тетраэдральной широте — известной нам сегодня повсеместно присутствующей связи с 19,5°, Менее известным аспектом его модели было предсказание того, что в системе также будут иметься приливные точки, и они будут гексагональными. Отчасти подтверждение этой идеи было на снимках Сатурна и Солнца. Оба набора фотографий демонстрировали шестиугольные кольца облаков вокруг северных полюсов обоих тел, вращающихся с большой скоростью. Ни один известный физический феномен не может объяснить такое поведение.